2014-06-六月份一例正畸展示

  • 所属分类:
    牙齿正畸
  • 浏览次数: ...
  • 发布时间: 2015-11-10
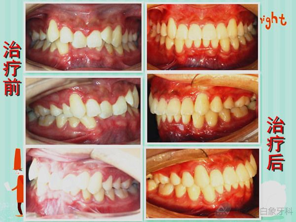
发布时间: 2014-06-27      患者李某某, 男,因“牙不齐、影响美观”来院治疗。初诊时间2011年7月4日,结束时间2014年5月1日。 接诊医生:李呈遥 患者非常满意,现将病例做一回顾性展示:
2014-06-六月份一例正畸展示

     

患者李某某, 男,因“牙不齐、影响美观”来院治疗。初诊时间2011年7月4日,结束时间2014年5月1日。

接诊医生:李呈遥

患者非常满意,现将病例做一回顾性展示:

图片4

图片5

图片6

图片7

图片8

图片9

图片10

图片11

图片12

图片13

图片14

本文网址: https://www.xbx373.com/3131/79.html

新乡小白象口腔医院

我们的价值观
患者满意 员工幸福
我们的服务宗旨
帮患者恢复口腔健康   为员工创造幸福生活
我们的愿景
儿童牙齿的贴心保姆   成人口腔的忠实伙伴

上班时间:8:30-20:30

周六、周日、节假日不休息

Copyright  版权所有:新乡小白象口腔医院 豫ICP备2022026940号-1 技术支持:慧牛企服

在线客服

在线客服

您好,我这边是在线客服

X