2025-9月修复病例展示
-
所属分类:
种植牙
-
浏览次数:
...
- 发布时间: 2025-10-18
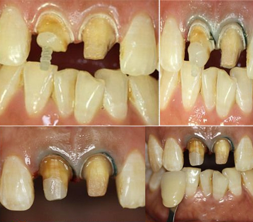
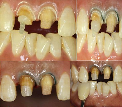
一患者上颌切牙外伤,在外院修复后因变色影响美观,来我院要求重新修复。X线检查发现根充不完善。经植入纤维桩、排龈后恢复牙冠外形、精修肩台、抛光牙体等后,更换新烤瓷牙。经过治疗后的牙齿,分辨不出真、假,患者非常满意。
治疗医生:刘廷琦
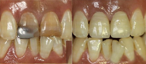
一患者上颌切牙外伤,在外院修复后因变色影响美观,来我院要求重新修复。X线检查发现根充不完善。经植入纤维桩、排龈后恢复牙冠外形、精修肩台、抛光牙体等后,更换新烤瓷牙。经过治疗后的牙齿,分辨不出真、假,患者非常满意。
治疗医生:刘廷琦
X线检查

治疗过程中

治疗前后对比
