十一月病历展示:全瓷冠修复
-
所属分类:
牙齿修复
-
浏览次数:
...
- 发布时间: 2025-10-18
发布时间: 2015-11-10
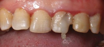
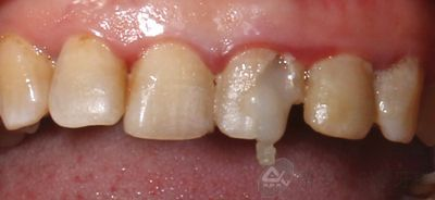
王某某,女,60岁,患者在于11月10日在我院牙体科行21根管治疗术后纤维桩修复,22树脂充填后由口内转入修复科。
诊断:21.22牙体缺损。
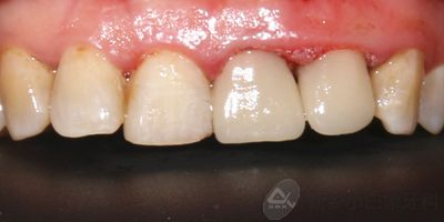
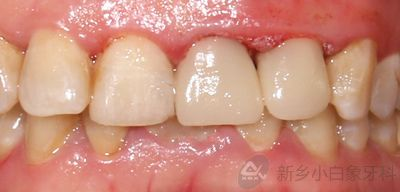
治疗:21.22全瓷冠修复。
必兰局麻下,21.22全冠牙体制备,cerec取像,设计制作,树脂粘结戴走。
王某某,女,60岁,患者在于11月10日在我院牙体科行21根管治疗术后纤维桩修复,22树脂充填后由口内转入修复科。
诊断:21.22牙体缺损。
治疗:21.22全瓷冠修复。
必兰局麻下,21.22全冠牙体制备,cerec取像,设计制作,树脂粘结戴走。
治疗前

治疗中

治疗后
