患者情况 男
年龄:74岁
主诉:要求镶牙。
现病史:患者觉得下颌牙齿无法咀嚼影响正常进食,要求拔除并修复。
既往史:体健,否认有传染病史及药物过敏史。
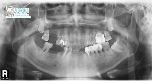
口内查:16缺失,14,15见白色充填材料,18低位未萌出。
26间一钢冠修复体,28低位未萌出。
34,35,36见修复体,
37近中邻面龋坏,牙根暴露1/3,松动2度,
温度试验敏感,牙龈无红肿。
38低位未萌出。
44合面见白色充填物,45残根,46缺失,
48未见。

诊断:上颌牙列缺损
37慢性牙髓炎
下颌牙列缺损
治疗计划:全口洁治术
13,14,15,16连冠修复
25,26,27根管治疗+冠修复
37根管治疗+树脂充填
下颌余留牙拔除后行种植覆盖义齿修复
治疗过程:上颌13,14,15,16,17行根管治疗后,制备牙体后行联冠修复,25,26,27根管治疗后行冠修复。47局麻下开髓揭顶行根管治疗,树脂充填。 局麻下拔除余留牙。

影像学检查见拔牙窝愈合良好
设计思路:33,35,43,46数字种植导板指导下精确种植

手术过程:



半年后复诊
讨论:
目前无牙颌的主要修复方式有全口活动义齿和全口种植义齿,其中全口种植义齿按固位方式又分为全口固定式种植义齿和全口覆盖式种植义齿。与全口活动义齿相比全口固定式种植义齿和全口覆盖式种植义齿具有更高的患者满意度。种植覆盖义齿通过植入种植体为其上部结构提供支持、固位,大大改善全口义齿的固位与稳定性。种植覆盖义齿咀嚼效率相比活动义齿有明显提高,能进食更硬的食物。有研究发现种植覆盖义齿能够减少无牙颌骨吸收,Mosnegutu等对82名进行种植覆盖义齿修复的全口无牙颌患者进行了平均10.5年的观察,发现下颌骨高度平均降低0.5mm,覆盖义齿修复前后后牙区下颌骨高度无临床差异。而且,种植覆盖义齿所需种植体数量较少,一般为2~4颗,降低了患者手术创伤及经济负担。