
姓名:石XX
年龄:15
性别:女
主诉:牙不齐,求治
开始时间:2016年8月
结束时间:2018年12月
现病史:患者自换牙后自感牙齿不齐,影响美 观,特来诊。
既往史:既往体健,否认有传染病史及药物过敏史。
家族史:无特殊家族病史。
治疗前面相

正面观:基本对称
侧面观:直面型
颞下颌关节无弹响、无压痛。
治疗前牙相

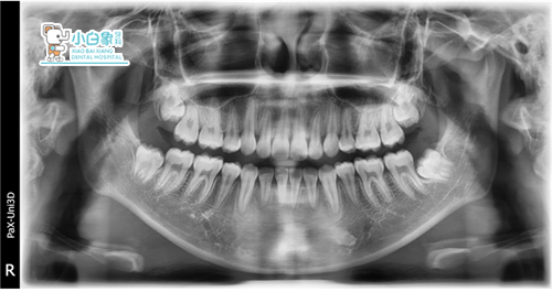
治疗前X线片

X线见21根间高密度异常影像
见18、28、38、48恒牙
治疗前X线片

治疗前CBCT

诊断

安氏一类错合
牙列拥挤
个别牙反合
牙龈炎
牙石症
多生牙(埋伏阻生)
治疗计划
口腔宣教,全口洁治术,全口直丝弓矫治术,拔除14、24、34、44,拔除上颌多生牙,整平排齐牙弓,解除反合
经与患者家长沟通,患者家长同意该治疗方案。
治疗过程
粘全口直丝弓矫治器
更换12、14、16、18镍钛圆丝排齐牙齿
依次换16*22、18*25镍钛方丝整平牙弓
转儿牙拔除上颌多生牙(2017.3.11)

治疗过程

治疗过程

治疗结束后

治疗结束后

治疗后X线片

治疗后X线片

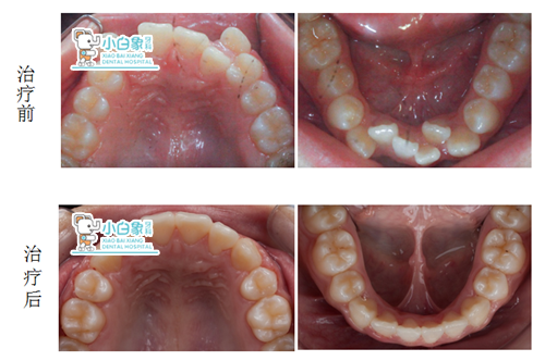
治疗前后对比

治疗前后对比

治疗前后对比

治疗前后对比

治疗前后对比

结束半年后复查

结束半年后复查

前后面相变化

讨论
正中埋伏多生牙对上颌中切牙根发育的影响
大多数的正中多生牙均可导致前牙错颌畸形,如:中切牙扭转、阻 萌、及中切牙间隙过大等,影响美观及功能 。
手术提前拔 除虽不能使中切牙根发育完全正常,但也不会导致 其牙根发育缺陷,在减小牙根弯曲率、牙髓治疗难 度的同时对多生牙引起的切牙迟萌、扭转、间隙等 问题具有改善作用,可减小正畸治疗的必要性 及难度;
对于引起并发症的多 生牙应尽早拔除;而无明显临床并发症的可定期随访,待其他治疗结束后拔除。
