患者基本情况:
患者姓名:**
年 龄:46Y
性 别:女
初次就诊时间:2019年6月2日
主诉:左上后牙牙冠缺损数年。
现病史:数年前,患者左上后牙牙冠缺损,影响进食,今特来诊。
既往史:体健,否认有传染病史及药物过敏史。
颌面部未见异常,口内查:24龋坏平牙龈,叩(-),温度测试无反应,余无异常,牙结石I度,牙龈无红肿。
诊 断:1、牙石症
2、 24残根/牙体缺损。
治疗计划:全口洁治
1、24即拔即种
2、24拔除后择期23、24、25固定桥修复。

种植前设计:
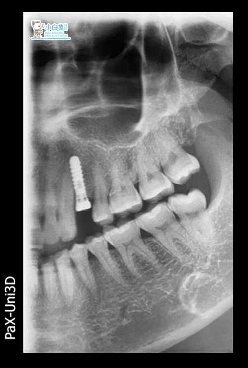
CT测量骨量,骨高度16.5mm,骨宽度7.8mm,偏腭侧定点,选择创英4.1*12mm种植体一枚。

治疗计划:
24局麻下拔除残根,偏腭侧定点,逐级预备种植窝洞,植入4.1*12mm,上愈合基台,严密缝合。

二次就诊时间:2019年6月10日
口内查:24伤口愈合良好。
治 疗:碘伏消毒下拆除缝合线。
医 嘱:不适随诊。

第三次就诊时间:2019年9月9日
口 内 查 :24愈合帽在,牙龈未见明显红肿。
治 疗 过 程:24去除愈合帽,测ISQ值近中、远中73,近颊、远颊、颊侧、舌侧均为74,置印模帽,硅橡胶取模,取对合,咬合记录,比色,上回愈合帽。
医 嘱:不适随诊。

第三次就诊时间:2019年9月24日
口 内 查:24愈合帽在,牙龈未见明显红肿。
治疗过程:去除愈合帽,清理袖口,试戴一体化基台冠,加力至35N,树脂封闭螺丝孔,调合,抛光。
医 嘱:不适随诊。

一周后复查

CT查患者根尖无炎症区域存在,颊侧骨壁较薄,腭侧骨量可,故在设计时考虑残根拔除同期种植这一方案,手术中偏腭侧定点备洞,初期稳定性达到15N以上,术后患者恢复较好。
即刻种植适用位点一般为前牙及前磨牙,要求根方至少有3-5mm以上骨量,以获得种植体植入的初期稳定性。对于磨牙位点,拔牙后牙槽间隔骨量往往不能支持种植体稳定性,临床极少应用即刻种植,一般在拔牙4个月后待牙槽窝完全骨性愈合后后期种植。另外如果患牙位点因牙周疾患和/或根尖周炎存在大量骨缺损和/或软组织炎症,,则不是即刻种植的良好适应证。这种情况下,在前牙位点建议采用早期种植。
目前大量临床研究显示,即刻种植存在美学风险,尤其是在上颌前牙区。许多文献报道,上颌前牙即刻种植后唇侧牙龈退缩,甚至会显露种植体颈缘,而严重影响美学效果 。就美学而言,即刻种植对于位点局部解剖条件要求很高,牙龈薄、唇侧骨板缺损的高笑线患者慎用此技术,可考虑拔牙后早期种植。
作者:李德华 《中华口腔医学杂志》,2013,,4(4):200-202