姓名:***
性别:女
年龄:26
主诉:牙不齐,求治。
初诊时间:2017.4.8
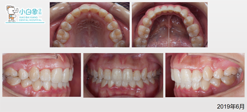
结束时间:2019.6.23

现病史:自换牙后发现牙列不齐,影响美观,特来诊。
既往史:既往体健,否认有传染病史及药物过敏史。
家族史:否认系统性家族病史。
治疗前面相

检查

治疗前x线片


诊断
骨性二类
牙行一类
牙列拥挤
个别牙反合
牙龈炎
治疗计划
口腔宣教
全口洁治
全口自锁直丝弓矫治术
拔除14、24、34、44
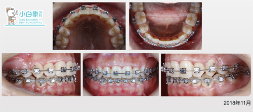
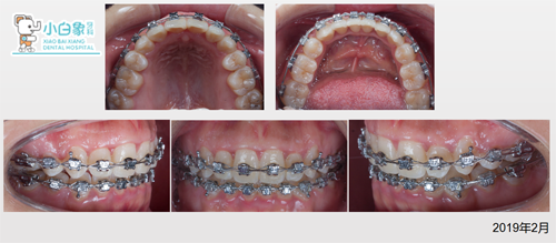
治疗中







治疗后

治疗后

治疗后

治疗前后对比

治疗前后对比

治疗前后对比

三个月后复查

三个月后复查
