2018-10月正畸病例

  • 所属分类:
    牙齿正畸
  • 浏览次数: ...
  • 发布时间: 2018-10-20
2018-10月正畸病例

患者资料

患者:***    女    31岁

现病史:患者自换牙后呈“地包天”,影响美观,现要求治疗。

既往史:体健,否认有传染病史及药物过敏史。

初诊时间:2015.6.30

治疗时间:2018.8.27

QQ截图20180921091041

问题清单

安氏三类错合

面中1/3稍凹陷

11 12 22反合

下前牙有散在缝

牙周病

QQ截图20180921091101

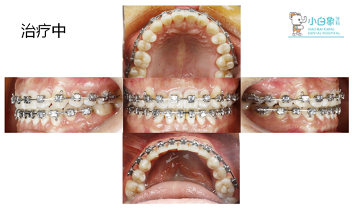
治疗方案

普特自锁矫治

全口牙洁治+牙周刮治

排齐牙齿整平牙弓

解除反合

关闭下颌散在缝隙

已告知患者面型无法改变

QQ截图20180921091120

QQ截图20180921091135

QQ截图20180921091143

 

本文网址: https://www.xbx373.com/3131/189.html

新乡小白象口腔医院

我们的价值观
患者满意 员工幸福
我们的服务宗旨
帮患者恢复口腔健康   为员工创造幸福生活
我们的愿景
儿童牙齿的贴心保姆   成人口腔的忠实伙伴

上班时间:8:30-20:30

周六、周日、节假日不休息

Copyright  版权所有:新乡小白象口腔医院 豫ICP备2022026940号-1 技术支持:慧牛企服

在线客服

在线客服

您好,我这边是在线客服

X