2015-10-八月份病历展示:种植科前牙种植修复

  • 所属分类:
    种植牙
  • 浏览次数: ...
  • 发布时间: 2015-10-20
2015-10-八月份病历展示:种植科前牙种植修复

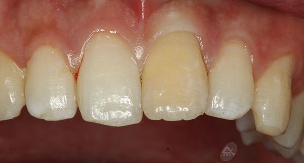
患者,欧某某,男,24岁,约十年前患者上前牙外伤,未曾处理,现牙齿变色,于14年12月19日来我院就诊;

检查:21牙齿变色,叩诊(-),冷刺激无反应,牙龈无红肿,松动2度;

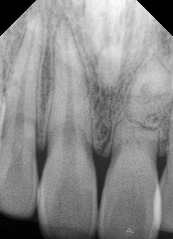
X片:21根中部见折断影;

诊断:21外伤/根折;

治疗计划:21拔除后即刻种植修复;

2015年8月16号二期修复结束。

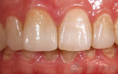
1.jpg

治疗前

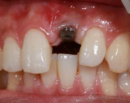
2.jpg

治疗中

4.jpg

治疗中

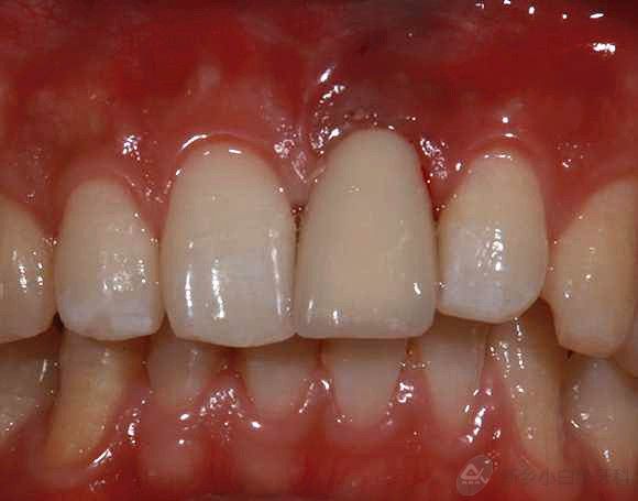
5.jpg

治疗后

本文网址: https://www.xbx373.com/3131/191.html

新乡小白象口腔医院

我们的价值观
患者满意 员工幸福
我们的服务宗旨
帮患者恢复口腔健康   为员工创造幸福生活
我们的愿景
儿童牙齿的贴心保姆   成人口腔的忠实伙伴

上班时间:8:30-20:30

周六、周日、节假日不休息

Copyright  版权所有:新乡小白象口腔医院 豫ICP备2022026940号-1 技术支持:慧牛企服

在线客服

在线客服

您好,我这边是在线客服

X