2018-5月正畸病例

  • 所属分类:
    牙齿正畸
  • 浏览次数: ...
  • 发布时间: 2018-05-20
2018-5月正畸病例

患者:***    女     13岁

病历号:1601****

主诉:牙不齐,求治。

现病史:患者换牙后发现牙列不齐,影响美观,来诊。

既往史:体健,否认有传染病史及药物过敏史。

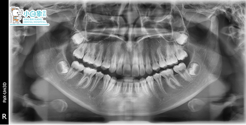
初诊时间:2016.01.26

结束时间:2017.12.31

QQ截图20180120141408.png

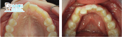
双颌稍前突 治疗前

QQ截图20180120141506.png

治疗前

问题清单:

安氏一类错合

深覆合 深覆盖二度

牙列拥挤

治疗计划:

 

全口直丝固定矫治术(普特自锁)

排齐与整平牙弓

先保守治疗,治疗半年后再决定是否拔牙(牙齿排齐后,家长觉得面型可以,故不拔牙矫治)

解决覆合覆盖关系

精细调整

保持

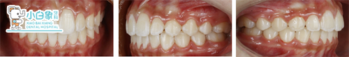
QQ截图20180120141745.png

治疗后

QQ截图20180120141810.png

 

治疗前后对比

QQ截图20180120141408.png

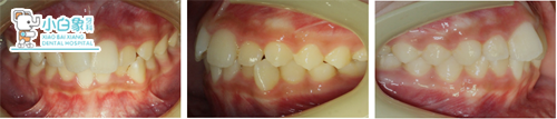
治疗前

QQ截图20180120141835.png

治疗后

 

治疗前后对比

QQ截图20180120141904.png

治疗前

QQ截图20180120141910.png

治疗后

 

治疗前后对比

QQ截图20180120141917.png

治疗前

QQ截图20180120141922.png

治疗后

 

治疗前后对比

QQ截图20180120141933.png

治疗前

QQ截图20180120141938.png

治疗后

 

治疗前后对比

QQ截图20180120141953.png

治疗前

QQ截图20180120142000.png

治疗后

本文网址: https://www.xbx373.com/3131/188.html

新乡小白象口腔医院

我们的价值观
患者满意 员工幸福
我们的服务宗旨
帮患者恢复口腔健康   为员工创造幸福生活
我们的愿景
儿童牙齿的贴心保姆   成人口腔的忠实伙伴

上班时间:8:30-20:30

周六、周日、节假日不休息

Copyright  版权所有:新乡小白象口腔医院 豫ICP备2022026940号-1 技术支持:慧牛企服

在线客服

在线客服

您好,我这边是在线客服

X