患者:潘** 女 12岁
主诉:要求补牙。
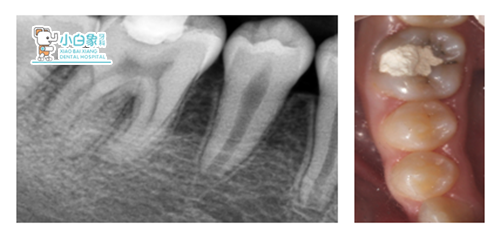
现病史:右下后牙有洞,于外院根管治疗未结束,现来我院就诊。
既往史:体健,否认有传染病史及药物过敏史。
检查:颌面部查未见异常,口内查:46合面见白色充填物,叩(-),温度测试无反应。
16、26、36、37龋坏达牙本质浅层,叩(-)。
27、47新生恒牙,窝沟较深,余未见明显异常。

X线:46远中牙周膜增宽,根尖见低密度影像

诊断: 46慢性根尖周炎16、26、36、37中龋27、47新生恒牙
治疗计划:46根管治疗+嵌体修复
16、26、36、37充填术
27、47窝沟封闭口腔卫生宣教

治疗过程:1.46去除暂封,揭髓顶,拔髓,测近远中颊舌侧根长19mm,M3预备,荡洗根管,隔湿干燥,封木榴油一周复诊,试尖,牙胶尖+根管糊剂充填,树脂垫底,制作假壁,制备牙体,扫像,设计,研磨,试戴,上釉,粘结嵌体。
2.16、26、36、37去腐备洞,隔湿干燥,z250树脂充填。
3.27、47清理牙面,隔湿干燥,酸蚀,行复合树脂窝沟封闭。
4.口腔卫生宣教
医嘱:注意口腔卫生,定期复查。
