患者:柳某
性别:女
年龄:71岁
主诉:右下后牙有洞数月余。
现病史:近期患者感右下后牙有洞,塞牙疼痛,特来诊。
既往史:体健,否认有传染病及药物过敏史。

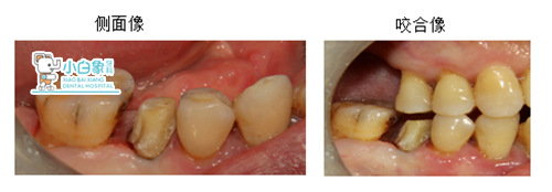
检查:45远中邻合面龋坏达牙本质深层,叩诊(-),温度试验敏感,牙龈无红肿。
46牙冠邻面见硬龋,探诊光滑,温度试验正常,牙龈无红肿。16 17 缺失,牙龈无红肿。
牙龈轻度退缩,全口慢性牙周炎。
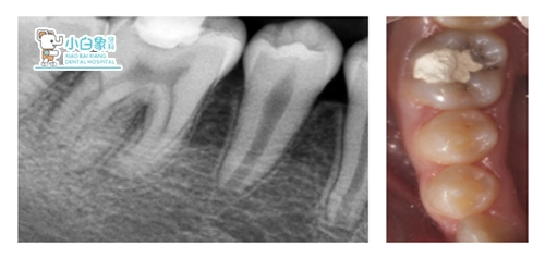
X线:45低密度影近髓角
诊断:45慢性牙髓炎
16 17牙列缺损
治疗计划:1. 45根治+充填全口牙周维护2.45根治+桩冠修复全口牙周维护(择期)16 17择期修复经过与患者沟通,患者选择第二种方案

治疗:45必兰麻醉下去腐,开髓揭顶,预备根管一根,根长19mm,荡洗,隔湿干燥,根充,制备桩道,树脂粘结红色纤维桩,预备全冠,扫像,设计,粘结全冠,调合。
医嘱:不适随诊。
一周后随访无不适。

