患者:** 男 20岁
主诉:上前牙有洞数月。
现病史:数月前,患者发现上前牙有洞,近日感不适,来诊。BP:110/72mmHg
既往史:体健,否认有传染病及药物过敏史。

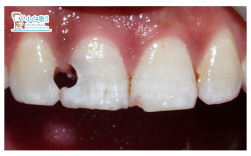
检查:颌面部未见异常。舌侧见烟渍沉着。11远中龋坏达牙本质深层,远中边缘达龈下0.5mm,叩(土),温度测试敏感;12近中龋坏达牙本质深层,叩(—),温度测试正常,牙龈无红肿。21近中缺损达釉质层,温度测试正常。
X线检查:11远中低密度暗影达髓腔,12近中低密度暗影近髓,根尖未见明显异常。

诊断:色素沉着;11牙髓炎;12深龋;21牙体缺损。
治疗计划:
1.全口洁治,11根治+纤维桩+全冠修复。12、21充填术。

治疗过程:11必兰局麻下去腐质开髓,寻一根管,测根长22mm,M3根备至25#,超声荡洗,试尖,隔湿干燥,置牙胶尖+根管糊剂于根管内,叩(+),暂封观察。
12去腐质,隔湿干燥,纳米充填,抛光。21未处理。

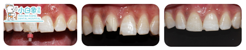
十天后复诊:
检查:口内见暂封在,叩(-),温度测试无反应,牙龈无红肿。
治疗:去暂封,制备桩道,粘结纤维桩,树脂恢复牙体,制备牙体,取像,设计,研磨,试戴,上釉,粘结,戴走。
