患者:###
性别:男
主诉:左上后牙疼痛三天。
现病史:三天前患者感左上后牙自发性疼痛,特来诊。
既往史:体健,否认有传染病及药物过敏史。
检查:24邻合面龋坏达牙本质深层,叩诊(土),探诊(-),温度试验迟钝,牙龈无红肿。
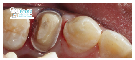
术前

诊断:24慢性牙髓炎
治疗计划:24根治+桩冠修复
治疗:24必兰麻醉下去腐开髓揭顶,预备根管两根,颊侧根长22mm,腭侧根长19mm,冲洗,隔湿干燥,热熔充填,颊侧根管置纤维桩,树脂修复,备牙,做临时牙,十天后戴烤瓷冠,调合。
备牙

戴临时冠

戴牙后

术中及术后X线片:

医嘱:不适随诊。