患者:苗** 女 27
病历号:16090411
初诊时间:2016年9月4日
结束时间:2017年10月24日
主诉:要求种牙。
现病史:8个月前,患者右下后牙因龋坏无法治疗在我院拔除,现影响进食,就诊。
既往史:体健,否认传染病史及药物过敏史。

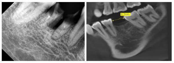
术前X线片

2016-2017术前X线
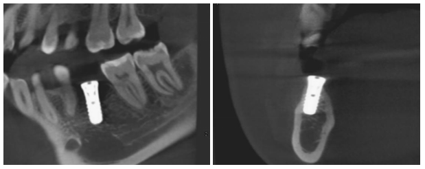
治疗过程:46必兰局麻下,切开翻瓣,预备种植钉道,植入ITI4.8*10mm种植体一枚,颊侧植入Bio-oss骨粉,覆盖骨膜,严密缝合。
医嘱:十日后拆线,口服消炎药。

备洞+植入植体

植入植体X线

2017年5月31日 46消毒,拆线。
2017年9月30日 46二期+取模。

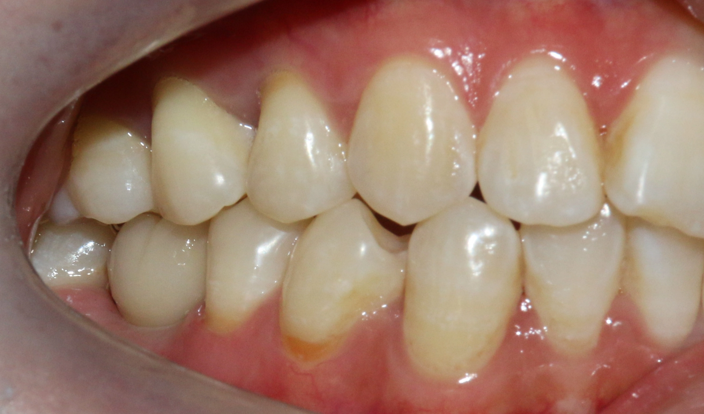
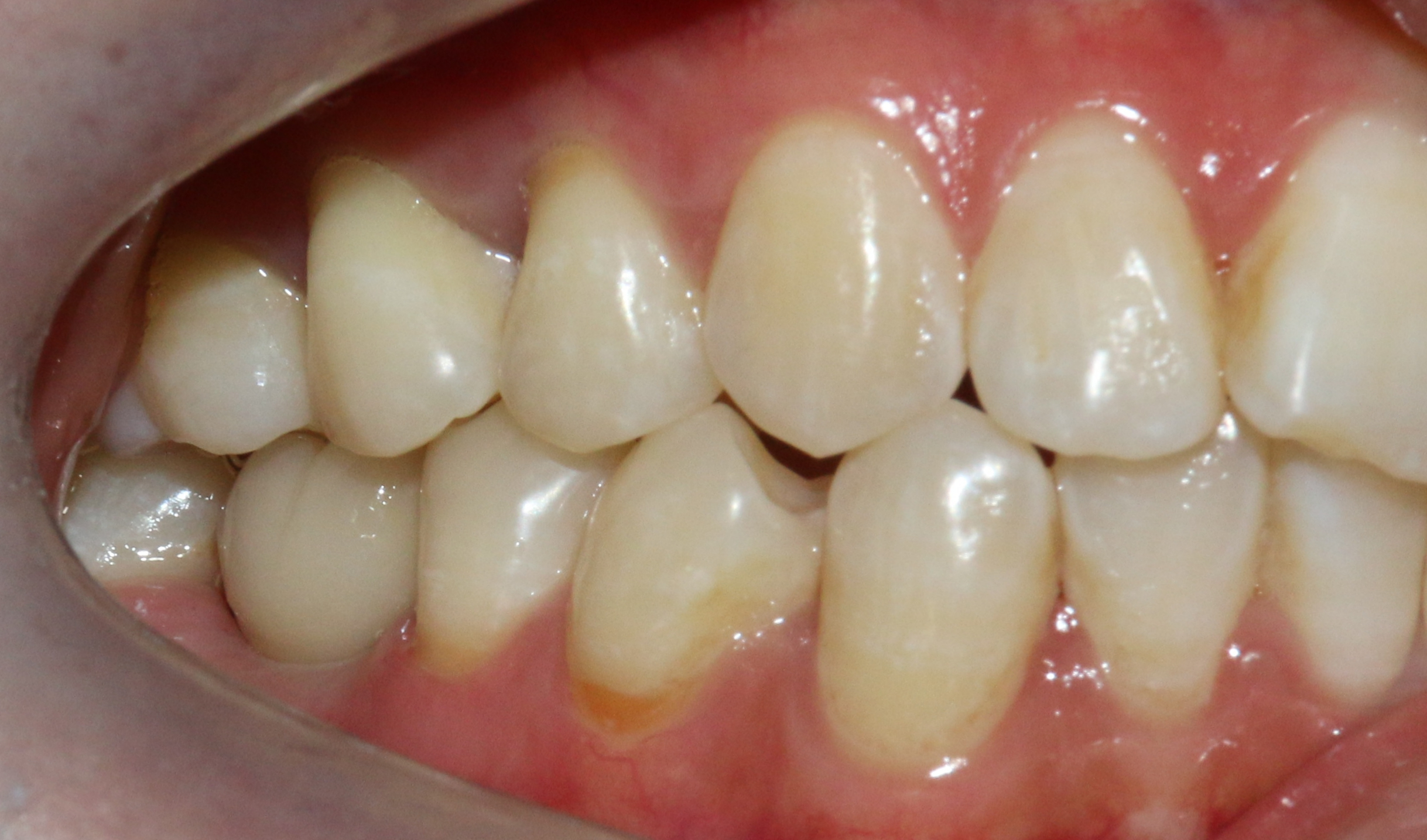
2017年10月24日46戴牙
