姓名:***
性别:女
年龄:13岁
主诉:右下后牙疼痛半年余。
现病史:右下后牙有洞,嵌塞食物,隐痛不适,现求治。
既往史:体健,否认传染病史及药物过敏史。
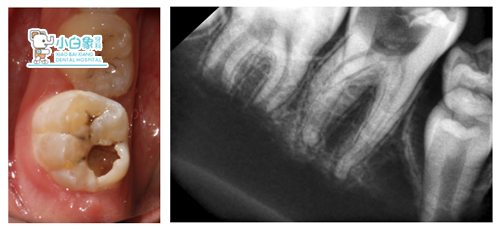
颌面部未见异常,口内查:46合面龋坏达髓角,探诊疼痛,检查温度测试疼痛。
X片:46低密度影达髓腔
诊断:46慢性牙髓炎
治疗计划:46根管治疗

治疗过程:46必兰麻下去腐质,揭髓顶,去冠髓,隔湿干燥,封慢失。
医嘱:按约复诊。

5月29日复诊
检查:46暂封在,叩(-),牙龈无红肿。
治疗过程:46去暂封,拔髓,测远中颊根长24mm,
远中舌根长22mm,近中颊舌根22mm,冲洗根管,

隔湿干燥,根管内置牙胶尖+根管糊剂充填根管,
Z350垫底,制备牙体,扫像,设计,研磨,试戴,
隔湿干燥,粘结嵌体。
