患者:梁xx 男 38岁
病历号:17110606
首次就诊时间:2017.11.06
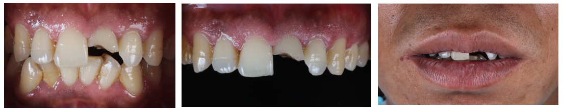
主诉:上前牙折断一周。
现病史:患者一周前因外伤前牙折断,今日来诊求治。BP:135/80mmHg。
既往史:体健,否认传染病史及药物过敏史。
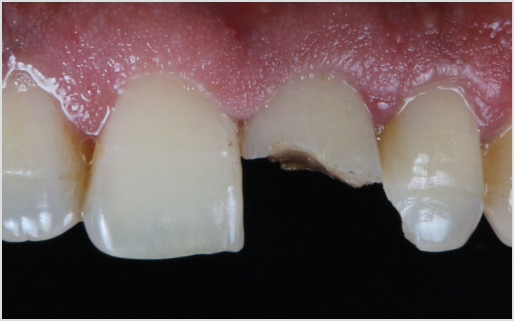
检查:21冠折露髓,探(+),叩(—),温度测试敏感,牙龈无红肿。
诊断:21冠折。

1、缺少露髓的照片。
2、拍照时要吹干。

2017.11.06 治疗过程:
必兰局麻下,开髓,拔髓,测根管一根,根长19mm,mtwo预备,次氯酸钠超声荡洗根管,根充糊+牙胶尖充填,暂封王暂封。

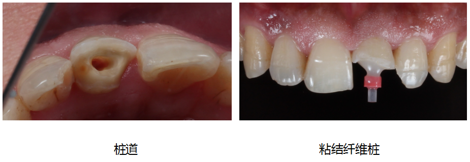
2017.11.11复诊:
去除暂封,制备桩道,酸蚀,粘结纤维桩,制备桩核,扫像,设计,研磨,试戴,上釉,粘结。





