九月份病例展示:11瓷睿刻全冠修复

  • 所属分类:
    牙齿修复
  • 浏览次数: ...
  • 发布时间: 2017-10-21
九月份病例展示:11瓷睿刻全冠修复

患者,女,25岁。

主诉:牙龈发黑。

检查:颌面部未见异常,口内查:见11烤瓷冠修复,边缘发黑,牙龈微红肿。

现病史:患者曾在我院做金属烤瓷牙,近来发现牙龈发黑,前来就诊。

既往史:体健,否认有传染病及药物过敏史。

诊断:11不良修复体。

治疗计划:11瓷睿刻全冠修复。

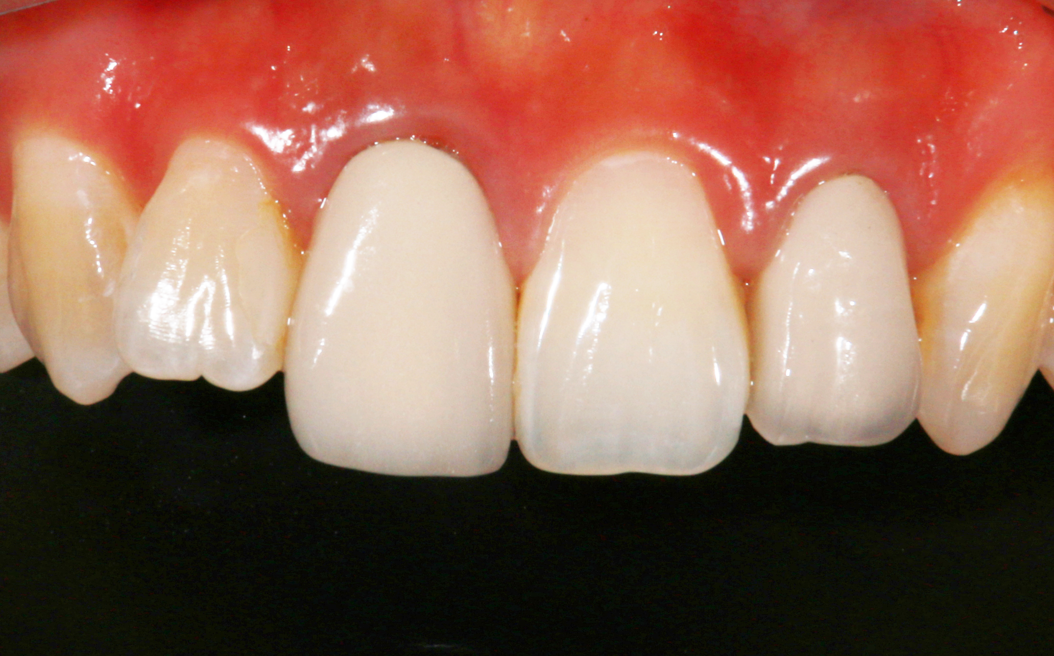
治疗前

图片1.png

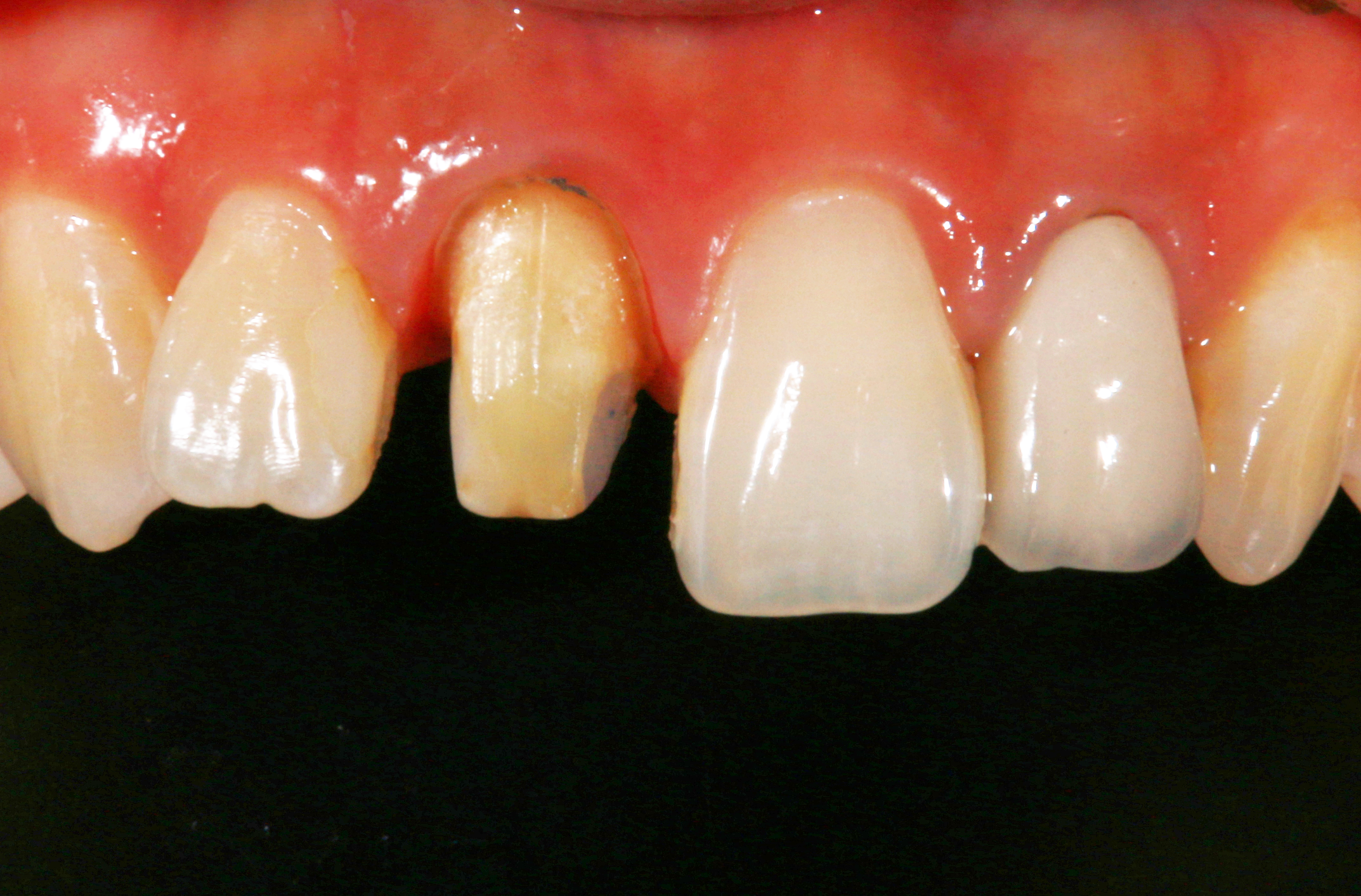
治疗中

图片2.png

图片3.png

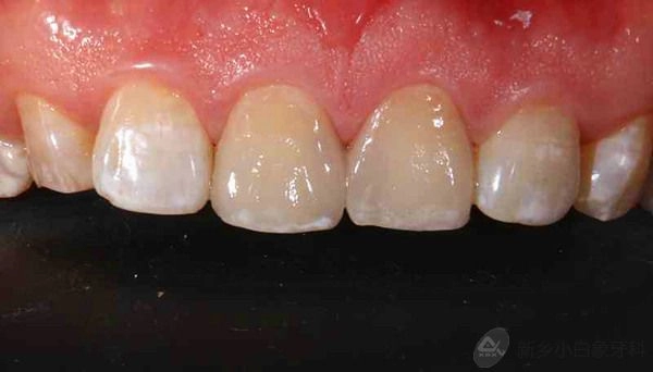
治疗后

图片4.png

本文网址: https://www.xbx373.com/3131/161.html

新乡小白象口腔医院

我们的价值观
患者满意 员工幸福
我们的服务宗旨
帮患者恢复口腔健康   为员工创造幸福生活
我们的愿景
儿童牙齿的贴心保姆   成人口腔的忠实伙伴

上班时间:8:30-20:30

周六、周日、节假日不休息

Copyright  版权所有:新乡小白象口腔医院 豫ICP备2022026940号-1 技术支持:慧牛企服

在线客服

在线客服

您好,我这边是在线客服

X