患者:*** 男 9岁
主诉:左上后牙疼痛数周
现病史:数周前患儿左上后牙疼痛,无法进食,求治。
既往史:体健,否认有传染病史及药物过敏史。
检查:
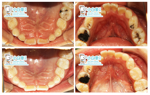
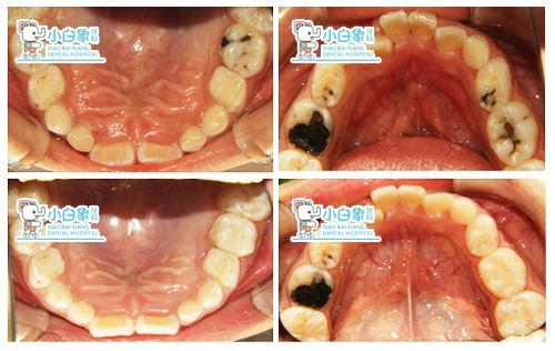
65邻合面龋坏达牙本质深层,探诊(+),温度测试疼痛,牙龈无红肿。
64邻合面龋坏达牙本质浅层,探诊(-),温度测试同正常牙。
74 75 邻合面龋坏达牙本质深层,温度测试同正常牙,牙龈无红肿。
36颊面沟龋坏达牙本质浅层,合面窝沟较深,温度测试同正常牙,牙龈无红肿。
16 26 46 合面无龋坏,窝沟深。
54 55 84 85 龋坏


诊断
65慢性牙髓炎
36 中龋
74 75 深龋
26 新生恒牙
54 55 84 85 牙体缺损
治疗计划
65根管治疗+树脂充填+预成冠修复
65 根管治疗+树脂充填
64 36 74 75 树脂充填
16 26 46窝沟封闭
54 55 84 85 去腐探查

治疗过程:
65去腐质,疼痛,间接封慢失。
64 74 75 去腐质,备洞,隔湿干燥,纳米充填及纳米封闭,调合。
36去腐质,备洞,隔湿干燥,科尔树脂充填及合面纳米封闭,调合。
26清理窝沟,隔湿干燥,纳米封闭。

复诊查
65暂封在,探诊(-),牙龈无红肿。
治疗过程
65去暂封,开髓,揭顶,拔髓,清理根管,生理盐水冲洗,隔湿干燥,根管内置VT,磷酸锌垫底,纳米充填及边缘纳米封闭,调合。
医嘱:定期复查。

10月30日复查

讨论
乳牙根管治疗很复杂,尤其是乳磨牙,常常副根管或侧支根管纵横交错,牙髓坏死组织的清理或根管的预备相当困难;其次,乳牙尤其是乳磨牙牙根管壁薄,机械性预备易导致根管壁侧穿;此外,乳牙牙根存在生理性吸收,乳牙根尖孔位置常常不明确,根管预备时感染物质或器械易超出根尖,可能损伤继承恒牙胚。曾有学者据此认为乳牙不易进行根管处理。但越来越多的临床研究显示,乳牙根管治疗预后较佳,保留了大量本需拔除的牙髓坏死或根尖周感染的乳牙。目前,乳牙根管治疗得到了越来越广泛的应用,成为保留牙髓坏死或根尖周感染乳牙最后的治疗手段。
摘自《儿童口腔医学》第4版第149页
主编:葛立宏