11.21瓷贴面修复、全口洁治

  • 所属分类:
    牙齿修复
  • 浏览次数: ...
  • 发布时间: 2015-11-21
11.21瓷贴面修复、全口洁治

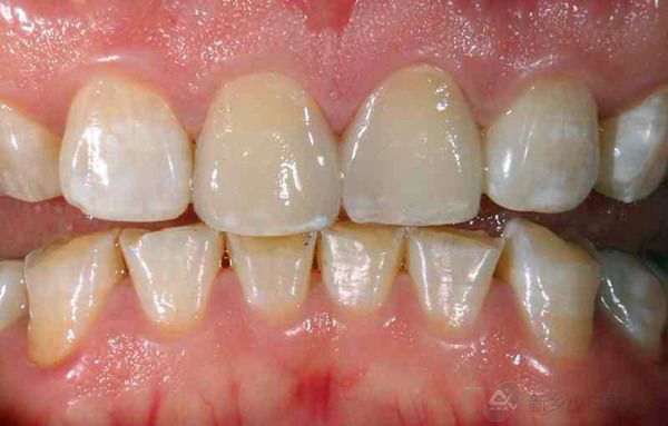
患者郭某某,女,42岁,3月18日因近期感觉牙齿发黑,影响美观,特来诊。

检查:颌面部未见异常。

口内查:11.21龋坏达牙本质深层,探诊(+),叩诊(-),温度试验敏感,牙龈稍红肿。

诊断:11.21深龋;边缘性牙龈炎。

治疗方案:11.21瓷贴面修复;全口洁治。

治疗过程:全口行洁治术。11.21常规贴面牙体制备,取像设计制作,树脂粘结。

当天治疗结束。

1.jpg

治疗前

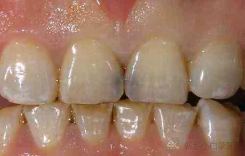
2.jpg

治疗中

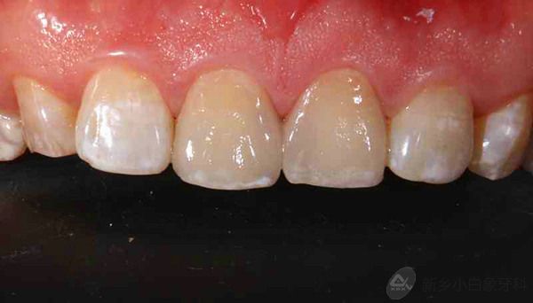
3.jpg

治疗中

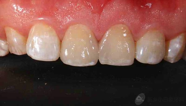
4.jpg

治疗后

本文网址: https://www.xbx373.com/3131/155.html

新乡小白象口腔医院

我们的价值观
患者满意 员工幸福
我们的服务宗旨
帮患者恢复口腔健康   为员工创造幸福生活
我们的愿景
儿童牙齿的贴心保姆   成人口腔的忠实伙伴

上班时间:8:30-20:30

周六、周日、节假日不休息

Copyright  版权所有:新乡小白象口腔医院 豫ICP备2022026940号-1 技术支持:慧牛企服

在线客服

在线客服

您好,我这边是在线客服

X