基本信息:
患者:陈**
性别:男
年龄:6岁三个月
主诉:左下后牙疼痛月余。
现病史:左下后牙有洞,近期发现加重,进食不适,于外院无法配合,求治。
既往史:体健,轻微自闭。
检查:
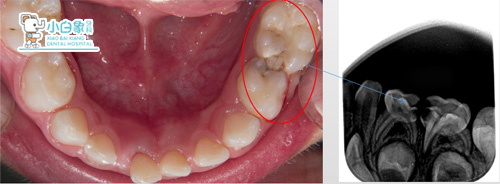
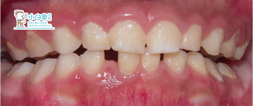
全口卫生差,双侧后牙龈缘探诊易出血。75近中邻面龋坏达髓角,探诊(-),温度测试无反应。74远中邻面龋坏达髓角,探诊疼痛,温度测试疼痛。55、65合面龋坏达牙本质深层,探诊(-),温度测试正常。85合面及远中邻面龋坏达牙本质深层,探诊敏感,温度测试正常。54、64、84萌出,窝沟较深,无龋坏。71唇舌向松动,恒牙未见萌出,牙龈无红肿。81唇舌向,近远中松动,未见恒牙萌出,牙龈无红肿。
X线:75、74低密度影像达髓角

诊断:龈缘炎
75牙髓坏死
74慢性牙髓炎
55、65、85深龋
54、64、84窝沟较深
71一度松动
81二度松动

术前照

治疗计划:
1. 全口卫生宣教
2. 75、74根管治疗+预成冠修复
3. 55、65充填术
4. 85预成冠修复
5. 54、64、84窝沟封闭
6. 71、81拔除与患儿家长沟通后,家长知情同意要求舒眠治疗。
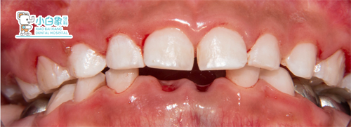
治疗过程:全麻,75去腐质,揭髓顶,拔髓未见,根管内大量渗出,冲洗,隔湿干燥,根管内置VT,磷酸锌垫底,科尔充填,制备牙体,预成冠修复。74必兰局麻下去腐质,揭髓顶,拔髓,清理根管,冲洗,隔湿干燥,根管内置VT,磷酸锌垫底,科尔充填,制备牙体,预成冠修复55、65去腐质,隔湿干燥,科尔充填。85去腐质,制备牙体,粘结预成冠。。54、64、84清洁牙面,隔湿干燥,树脂封闭。清洁牙面,全口涂氟。71、81必兰局麻下拔除,止血。

85治疗过程


74 、75治疗过程

术后照


讨论:
金属预成冠修复多用于牙体大面积缺损的修复或间隙保持器的固位体,尤其是乳磨牙牙髓治疗后。到目前为止,尚无任何充填材料在固位方面能优于金属预成冠。
适应症:
(1)大面积龋坏的乳牙或年轻恒压的修复;
(2)不能用复合树脂修复的乳恒牙釉质发育不全的修复;
(3)遗传性牙齿畸形的修复,如牙本质发育缺陷及釉质发育缺陷;
(4)牙髓治疗后,面临冠折危险的乳牙和年轻恒牙的修复;
(5)不良习惯矫治器的固位体;
(6)冠折牙齿的修复;
(7)各种固定间隙保持器的固位体,如第一乳磨牙用做远中导板保持器的固位体等。