姓名:**
性别:女
年龄:17
主诉:地包天,求治
现病史:自换牙后发现地包天面容,影响美观,特来诊。2006.8.12曾在我院行乳牙反合的治疗及多颗牙的治疗。
既往史:既往体健,否认有传染病史及药物过敏史。
初诊时间:2017.5.20
结束时间:2019.4.21

治疗前


治疗前

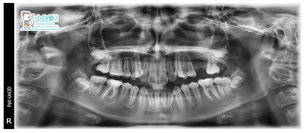
X线未见26(已拔除)
46根管见高密度影像,近中根尖处有低密度影像
见18、28、38、48恒牙胚
治疗前

诊断
骨性三类错合
前牙反合
牙列拥挤
上颌牙列缺损
14龋齿
36、46治疗齿
治疗计划(唯一方案)
全口直丝弓固定矫治术
拔除14
排齐整平牙列
解除前牙反合
近中移动磨牙关闭间隙,27代替26,28萌出后代替27
14、36、46转牙体科

2017.5月 46做瓷睿刻全冠,17.27.36.47充填,同时拔除14
46无症状暂不处理
正畸治疗过程
2017.5.29开始粘自锁托槽
2017.6.3开始上弓丝,依次更换12.14.16.镍钛圆丝
2018.3月开始依更换16*22.18*25镍钛方丝及18*25方钢丝,并制作后牙合垫配合打开咬合解决反合
2018.5月开始配合三类牵引,斜型牵引来调整咬合,并运用“8”字结扎、弹力结扎,拉磨牙向近中移动关闭间隙
2018.11进入微调
2019.1保持
2019.4拆除牙套,治疗结束
治疗中






治疗结束X线片

治疗结束X线片

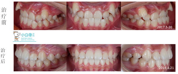
治疗前后对比

治疗前后对比

治疗前后面相对比

复查三个月面相


讨论
正畸治疗中时常会遇到第一磨牙缺失或缺损严重而无法保留的情况。在明确第三磨牙牙胚存在且发育良好的情况下,进行矫治方案设计时,对拔牙牙位选择时,常会考虑拔除不以保留的第一磨牙或关闭第一磨牙间隙进行错颌畸形的矫治。
拔除无法保留的第一磨牙对减少修复体,保留更多的咀嚼器官有着重要意义。
在矫治中需要关注的问题:
中线的偏斜问题
间隙关闭的方法
第二、三磨牙牙长轴的控制
摘自——《临床医学口腔杂志》2014.7.30第30卷第7期