患者:*** 男 27岁
病历号:1704****
初诊时间:2017年4月6日
结束时间:2017年12月25日
主诉:要求种植。
现病史:2016年10月份拔除左上前牙,右上前牙断根位于骨内,前来就诊。
既往史:体健,否认传染病史及药物过敏史。
检查:合面部未见异常,口内查:11、21牙槽嵴丰满度尚可,牙龈颜色正常,扪诊未见明显骨质隆突。
X线示:11见断根影像。
诊断: 11残根。
21牙列缺损。
治疗方案:11拔除+11、21种植术。

X线片+口内像
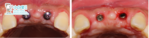
治疗过程:11、21必兰局麻下切开,翻瓣,拔除11后见颊侧骨板缺失,逐级备洞后21植入3.3*10mm,11植入3.3*11.5mm美格真种植体各一枚,植入Bio-oss骨粉,覆盖海奥膜,严密缝合。
医嘱:十日后拆线,输液消炎。

局麻后
2017年4月20日 11、21消毒,拆线。
2017年10月15日 11、21必兰局麻下,切开,取出封闭螺丝,测ISQ值:11,近颊、远颊均为75,近舌为60,远舌为56,颊侧为70,舌侧为71,21近颊,近舌、远舌均为77,远颊为76,颊侧、舌侧均为70,上高愈合帽。


2017年10月30日 11、21硅橡胶取模,比色:2R2.5。

2017年11月24日 11、21戴牙。


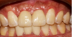
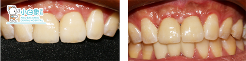
2017年12月25日 11、21 修复体复查。
