患者:*** 女 :48岁
初诊时间:2015年9月19日
结束时间:2017年11月27日
主诉:要求镶牙。
现病史:数年前,患者左上前牙曾在外院做过牙套,现脱落,影响美观,就诊。
既往史:青霉素过敏。
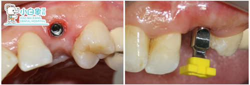
检查:颌面部未见异常,口内查:23残根齐龈,牙龈无红肿。
诊断:23牙体缺损。
治疗计划:23即刻种植修复。

口内像+X线片
治疗过程:23必兰局麻下切开翻瓣,拔除残根,根尖区骨缺损,根尖大量肉芽组织,彻底去除后24根面部分暴露,预备种植窝后植入ITI3.3*12mm骨水平种植体一枚,上愈合帽后填塞Bio-oss骨粉,海奥膜覆盖,严密缝合。
医嘱:输液消炎,十日后拆线。

残根

植入后X线片
2017年5月29日 23消毒,拆线。
2017年11月4日 23见愈合帽暴露,取出愈合帽,测ISQ值:近颊、近舌、远颊、远舌、舌侧均为70,颊侧71,装转移杆,硅橡胶取模,上回愈合帽。比色:颈1/3,3M1,切2/3,3M2。

愈合帽

袖口 转移杆
2017年11月24日
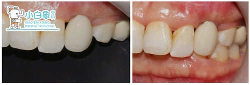
23取出愈合帽,装基台,试戴全瓷冠,粘结,调合抛光。

基台

戴牙