2月儿童牙病例

  • 所属分类:
    儿童牙科
  • 浏览次数: ...
  • 发布时间: 2018-03-18
2月儿童牙病例

姓名:宋xx

性别:女

年龄:4岁

主诉:左上乳牙缺失数月。

现病史:数月前患者拔除乳牙,今特来诊。

既往史:体健,否认有传染病史及药物过敏史。

1.png

检查:左上IV伤口愈合良好,牙龈无红肿

诊断:左上IV缺失

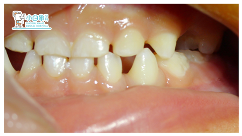
治疗计划:佩戴间隙保持器

3.png

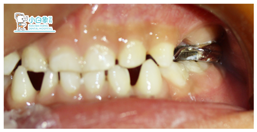
粘结后咬合像

4.png

本文网址: https://www.xbx373.com/3131/148.html

新乡小白象口腔医院

我们的价值观
患者满意 员工幸福
我们的服务宗旨
帮患者恢复口腔健康   为员工创造幸福生活
我们的愿景
儿童牙齿的贴心保姆   成人口腔的忠实伙伴

上班时间:8:30-20:30

周六、周日、节假日不休息

Copyright  版权所有:新乡小白象口腔医院 豫ICP备2022026940号-1 技术支持:慧牛企服

在线客服

在线客服

您好,我这边是在线客服

X