十一月病历展示:深龋护充

  • 所属分类:
    儿童牙科
  • 浏览次数: ...
  • 发布时间: 2015-12-08
十一月病历展示:深龋护充

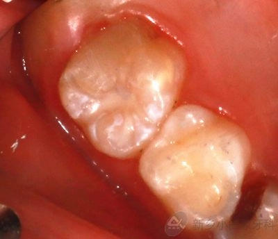
唐某某, 男,10岁,右上后牙有洞,进食时不适,于10月19日来诊。

检查:16远中邻合面龋坏达牙本质深层,探诊(-),叩诊(-),温度测试同正常牙,牙龈无红肿。

诊断:16深龋

治疗计划:16护充

治疗:16去腐质,备洞,隔湿干燥,Daycal垫底,纳米充填及行纳米封闭术,调合。

1.png

治疗前

2.png

治疗中

3.png

治疗后

本文网址: https://www.xbx373.com/3131/147.html

新乡小白象口腔医院

我们的价值观
患者满意 员工幸福
我们的服务宗旨
帮患者恢复口腔健康   为员工创造幸福生活
我们的愿景
儿童牙齿的贴心保姆   成人口腔的忠实伙伴

上班时间:8:30-20:30

周六、周日、节假日不休息

Copyright  版权所有:新乡小白象口腔医院 豫ICP备2022026940号-1 技术支持:慧牛企服

在线客服

在线客服

您好,我这边是在线客服

X