5月修复病例

  • 所属分类:
    牙齿美容
  • 浏览次数: ...
  • 发布时间: 2018-05-18
5月修复病例

患者:***  女   50岁

就诊时间:2017.12.31

主诉:牙齿发黄数年

现病史:患者自感牙齿发黄,求治。

既往史:体健。

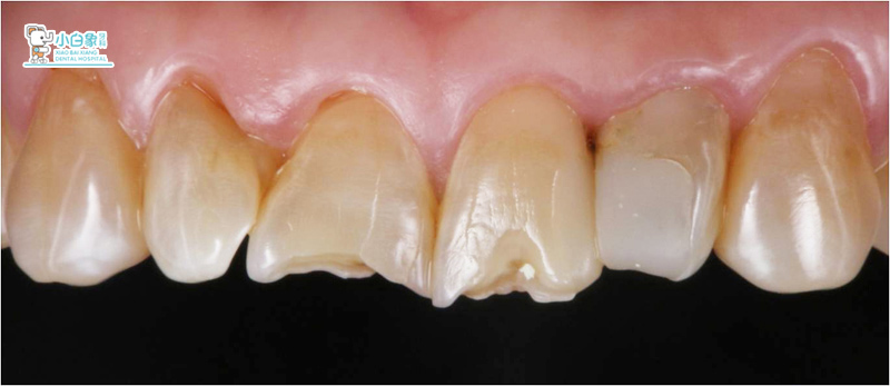
检查:唇面见黄色斑块,叩(—),牙龈无红肿。

诊断:四环素牙

治疗计划:前牙美学修复( 11 12 21全冠 13 22 23贴面)

1

取模  制作蜡型

2

备牙,取模,制作临时牙。

3

 

完成

4

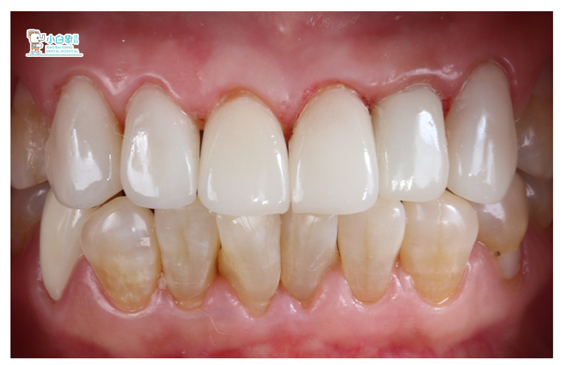
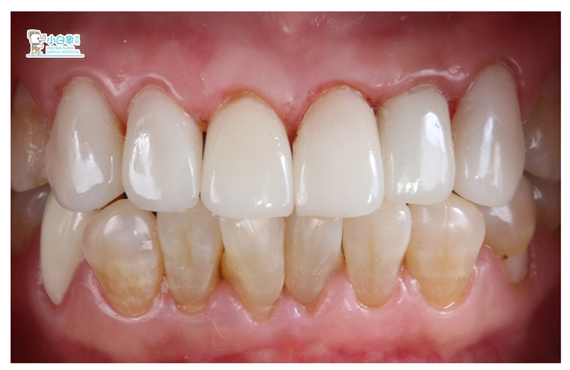
戴牙

5

对比

6

 

本文网址: https://www.xbx373.com/3131/144.html

新乡小白象口腔医院

我们的价值观
患者满意 员工幸福
我们的服务宗旨
帮患者恢复口腔健康   为员工创造幸福生活
我们的愿景
儿童牙齿的贴心保姆   成人口腔的忠实伙伴

上班时间:8:30-20:30

周六、周日、节假日不休息

Copyright  版权所有:新乡小白象口腔医院 豫ICP备2022026940号-1 技术支持:慧牛企服

在线客服

在线客服

您好,我这边是在线客服

X