4月矫正病例

  • 所属分类:
    牙齿美容
  • 浏览次数: ...
  • 发布时间: 2018-04-18
4月矫正病例

患者:***    女     14岁

主诉:牙不齐,求治。

现病史:患者换牙后发现牙列不齐,影响美观,来诊。

既往史:体健,否认有传染病史及药物过敏史。

初诊时间:2014.07.08

结束时间:2017.05.17

正面观:开唇露齿

侧面观:上颌前突

下颌后缩

1

2

3

问题清单:

安氏二类一分类错合

上颌前突,下颌后缩

11.21唇倾,32.42舌倾

深覆合三度 深覆盖三度

治疗计划:

全口直丝弓固定矫治术(LF)

拔除15.25.35.45

排齐与整平牙弓

关闭拔牙间隙

解决覆合覆盖及咬合关系保持

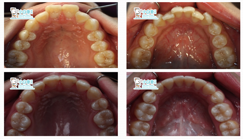
治疗后

4

治疗后

5

治疗后

6

治疗后测量

7

8

9

10

11

 

总结:

总体来说比较满意。

上颌突度改善较大,面型有改观,咬合关系从二类变为一类,深覆合、深覆盖得到很好的解决。

不足:下前牙角度没有控制好,倾斜度较大。


 

 

本文网址: https://www.xbx373.com/3131/143.html

新乡小白象口腔医院

我们的价值观
患者满意 员工幸福
我们的服务宗旨
帮患者恢复口腔健康   为员工创造幸福生活
我们的愿景
儿童牙齿的贴心保姆   成人口腔的忠实伙伴

上班时间:8:30-20:30

周六、周日、节假日不休息

Copyright  版权所有:新乡小白象口腔医院 豫ICP备2022026940号-1 技术支持:慧牛企服

在线客服

在线客服

您好,我这边是在线客服

X