患者:***女 34y
主诉:两侧后牙进食不适数日
现病史:数日前患者自觉双侧后牙进食不适,来诊要求检查,6年前曾于外院“抽牙神经”治疗,具体不详。
既往史:体健。

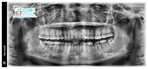
查:45合面见畸形中央见折断,叩(+),温度试验无反应。36牙体制备痕迹,合面见白色填充物收缩,边缘继发龋黑,温度试验无反应,叩(-),近远中向见食物嵌塞。25远中邻面龋损达牙本质深层,温度试验正常,叩(-)。48,38合面见大面积龋损,叩(-)。牙周及牙龈未见明显异常。
X线示:45根尖区类圆形暗影,边缘骨白线。36根管充填影像,欠填,尖端膨大。

诊断: 1.45根尖囊肿
2.36无髓牙
3.深龋
治疗计划:
1.45根管治疗+根尖外科
2.36根管再治疗
3.25充填术
治疗过程
45开髓,揭顶,寻单根管,M3预备后,黄色清亮渗出物,超声荡洗,隔湿干燥,CP引流。36,25常规治疗。
隔日见引流棉存,行根管充填超充。

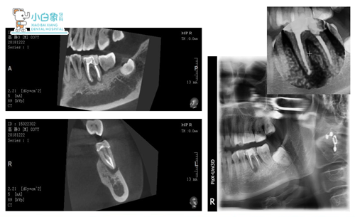
ct确定手术切口及入口位置

不行倒充填+骨粉骨膜
CT定位后:龈缘下5mm行半月形切口,翻瓣,见骨缺后扩大,刮除,清创,截根,置骨粉盖膜,缝合。

术后X线检查

根尖倒充填+置PRF膜

倒充填不置填充物

讨论
1.根尖倒充填对根尖囊肿的必要性。
2.Prf膜替代骨替代材料的可行性。
参考文献
[1]尹高权,陈克,程自力,聂玉洁,赵殿才.微创技术联合即刻MTA根尖倒充填治疗前牙区根尖囊肿的疗效分析[J].中国现代医药杂志,2016,18(09):12-15.
[2]周继章,郭大红,杨丽,屈博.富血小板纤维蛋白在显微根尖外科手术中的应用[J].全科口腔医学电子杂志,2015,2(08):112-113.
目的利用富血小板纤维蛋白(PRF)促进手术区域软组织及骨组织再生。方法选取2012年1月~2013年1月收治的慢性根尖周炎患者26例为研究对象,抽取自身血液离心制取PRF放入根尖手术区域,并观察疗效。结果治疗后,植入PRF的手术区域软组织及骨组织生长愈合良好。结论经研究发现,PRF可以促进骨组织再生、软组织及骨组织愈合,具有抗感染能力,且来源于自体血,避免了感染传染性及免疫性疾病的风险,且费用较低,在口腔颌面部治疗中应用越来越广泛。现将PRF应用在显微根尖外科手术中,作为生物膜或以植入物的形式,术后近远期疗效较好。