6月充填病例

  • 所属分类:
    基础牙科
  • 浏览次数: ...
  • 发布时间: 2018-06-18
6月充填病例

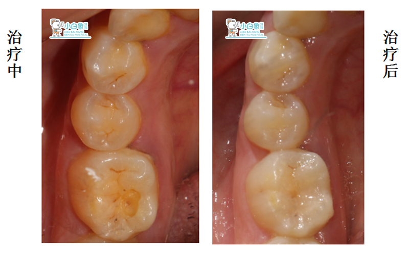
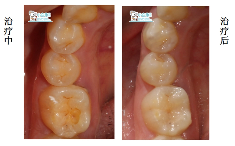
患者:李*

性别:女

年龄:22岁

主诉:右下后牙发黑数日

现病史:近日,患者体检发现右下后牙发黑,来诊

既往史:体健,否认有传染病及药物过敏史

1

检查:颌面部未见异常,口内查:46合面窝沟龋坏达牙本质浅层,叩(-),探诊无反应,温度测试正常

诊断:46中龋

 

治疗计划:46充填

治疗过程:46去除腐质,制备洞型,消毒,隔湿干燥,纳米树脂充填,抛光。

QQ截图20180518161657

本文网址: https://www.xbx373.com/3131/140.html

新乡小白象口腔医院

我们的价值观
患者满意 员工幸福
我们的服务宗旨
帮患者恢复口腔健康   为员工创造幸福生活
我们的愿景
儿童牙齿的贴心保姆   成人口腔的忠实伙伴

上班时间:8:30-20:30

周六、周日、节假日不休息

Copyright  版权所有:新乡小白象口腔医院 豫ICP备2022026940号-1 技术支持:慧牛企服

在线客服

在线客服

您好,我这边是在线客服

X