很多人觉得刷牙是一件小事,其实不然。正确的刷牙方法能有效地清除牙齿及牙周组织菌斑和软垢,可起到预防龋齿和牙周病的作用,而错误的刷牙方式,会毁掉我们的牙齿!这一点绝无虚言,我们可以看几张图片:



你的牙齿有没有上图情形??有些朋友常牙痛,遇凉便牙酸,总以为是蛀牙闹的,殊不知也很有可能是“楔状缺损”导致。
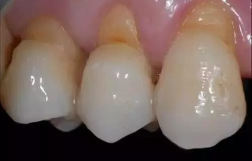
什么是楔状缺损?
它是牙齿颈部经过缓慢消耗而形成的缺损,呈“V”状,由于它外形酷似木匠用的楔子,因此称为“楔状缺损”。

一、不正确的刷牙方式
长期横向刷牙或用过硬牙刷、刷牙过猛都会导致牙颈部磨损。临床上看,牙颈部楔状缺损更多是位于上下颌正中牙齿分别往后数第三、四颗,这些牙处于牙列拐角处,因此刷牙时受到的力也是更大的。

二、牙颈部组织薄弱
牙齿也有薄弱部位,就是牙颈部,这个地方的牙釉质覆盖最少,因此牙龈也容易发生炎症或萎缩导致牙体暴露,所以耐磨能力最差。

三、挤压作用
在刷牙时,面颊部肌肉对牙刷存在挤压作用,这种挤压使牙刷对牙齿的摩擦力更大,加剧了横刷牙方式对牙颈部突出部分的磨损。

四、酸的作用
牙龈沟液中的酸性物质与楔状缺损有关,这就解释了龈缘根方发生缺损的原因。胃炎患者、常反酸者牙齿也易发生楔状缺损。

五、细菌作用
有人认为产酸菌在牙颈部菌斑中形成大量的酸,导致牙齿脱矿,强度降低的牙体组织在外力作用下易产生楔状缺损。

楔状缺损该如何治疗?
症状较轻者:

对于组织缺损较少且无酸痛症状者,局部不需要特殊处理。但要避免横刷,并选用较软的牙刷和磨料较细的牙膏。
缺损较重者:

可选用与牙齿颜色近似又有一定粘接性的复合树脂或玻璃离子粘固粉等将楔状缺损补好,以防继续发展。
重度缺损者:
重度缺损而引起牙髓炎、根尖炎的患者,要及时进行治疗。楔状缺损不是太复杂的病症,治疗及时就能减少因牙病和掉牙带来的痛苦。
楔状缺损可以预防吗?
选择合适的牙刷,并配合正确的刷牙方式是预防楔状缺损缺一不可的。

牙刷的刷毛不可太硬,采用上下运动的竖刷法,避免使用拉锯式的横刷法。如果缺损已经形成,则需要尽快修补。
温馨提示:其实当你感觉到牙齿不适、酸痛等症状时,问题已经相当严重了。平时我们可以做下自检:对着镜子,看看牙齿颈部有没有小的缺损。
教你最有效的刷牙方法——巴氏刷牙法!
①选择软毛牙刷,将牙刷与牙长轴呈45°角指向根尖方向;②按牙龈-牙交界区,使刷毛一部分进入龈沟,一部分铺于龈缘上,并尽可能伸入邻间隙内;③用轻柔的压力,使刷毛前后短距离的水平颤动10次;④颤动时牙刷移动仅约1mm,每次刷2~3颗牙。








