
一、什么是根管治疗?
根管治疗术又称牙髓治疗,是治疗牙髓病及根尖周病的最有效的一种方法。通过清除根管内的炎症牙髓和坏死物质,并进行适当消毒,充填根管,以去除根管内容物对根尖周围组织的不良刺激,防止发生根尖周病变或促进根尖周病变的愈合。

二、哪些情况需要做根管治疗?
一般来讲,对于那些牙髓炎,牙髓坏死,各种类型的根尖周炎都适于做根管治疗,包括由于龋齿、隐裂、过度消耗、穿髓等引起的牙髓炎及牙髓坏死不能保留活髓的情况。

三、根管治疗时间、具体过程是怎样?
一般来说,根管治疗需要就诊2-4次,用时2-3周。
根管治疗通常包括三个基本步骤:根管预备、根管消毒、根管充填。
首先会清除根管内的炎症牙髓和坏死物质,接下来测量根管长度,并适当扩大根管(即根管预备过程),然后在根管内封药消毒,最后用药物充填根管。

四、为什么根管治疗需要杀神经?
当牙髓已遭受感染或不可复性损害时,如果牙髓还有部分活力,此时病人就会感到疼痛,为了减轻患者的症状,同时将病变牙髓清理干净,防止感染的进一步发展,就需要拔除牙髓神经,进行根管治疗。

五、为什么根管治疗需要拍多张牙片?
根管治疗时,拍牙片是很有必要的,并且至少要保证3张牙片。
第一张在治疗前,帮助医生了解牙根的基本情况,制定治疗计划;
第二张在治疗中,帮助医生了解治疗情况,如根管预备是否到位等,并制定下一步治疗方案;
第三张是在治疗结束后,帮助判定根管充填质量,发现问题及时补救。

六、根管治疗后为什么还需要做全冠保护?
很多病人不理解,为什么在根管治疗后,牙齿不疼了,补上就可以了,为什么还要做全冠保护,觉得没有必要。
事实上在根管治疗后,没有牙髓提供营养的牙齿会变暗、变脆,剩余的牙冠部分很容易折断劈裂,导致牙齿使用寿命减少,因此根管治疗后需做全冠对其进行保护。

七、根管治疗是否安全?
根管治疗的确是较为复杂,使用的器械多,步骤多,需要经过多个治疗步骤和拍摄多张X光片才能完成整个过程。
目前技术已比较成熟,临床报告显示,根管治疗的成功率大概是80%~90%,是目前保存患牙最好的治疗方法。需要特别注意的是,大家一定要到正规医院及牙科诊所进行根管治疗,这样才能真正保证就诊的安全。

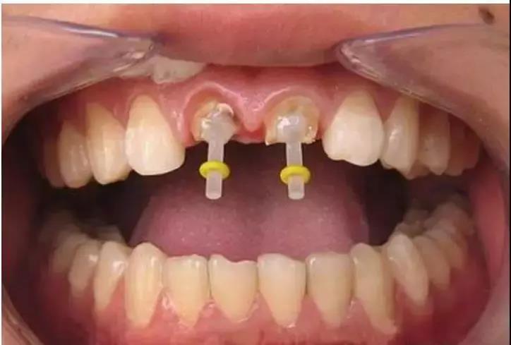
一些人在进行根管治疗后,会进行牙齿打桩。牙齿打桩是指在患者牙齿缺损较大,或因为外伤等原因只剩下牙根时,因剩下的牙齿过短或力量过于薄弱,不能用修复体直接修复,需要给牙根里打桩,加固并延长折断的牙齿,以使假牙能获得足够的力量固定。下面口腔专家给大家具体介绍一下牙齿打桩的相关知识。
牙齿打桩是指插入根管内的部分,利用摩擦力和粘固力、粘接力获得固位,进而为最终修复体提供固位。

牙齿桩的长度
牙齿桩的长度应该大约有牙槽骨支持的根长的1/2,即骨内桩长度大于骨内根长度的1/2,这样桩的末端不至于离牙槽脊太近,极大程度的减少根折。

牙齿桩的直径
一般来说,在桩材料强度足够的条件下,桩的直径在1/4到1/3根径范围内都对牙根的抗折性无明显影响。

什么样的牙齿需要打桩
1、由于龋坏(虫牙),外伤等原因造成牙冠大面积缺损者;
2、牙齿缺损只剩下牙根,而牙周健康,牙根有足够的长度,经牙龈切除术能暴露出根面者;
3、错位,扭转牙而没有条件做正畸治疗或非正畸适应者。
4、畸形牙,直接磨牙固位不良者。
牙齿打桩的材料有哪些
牙齿打桩的材料有纤维桩和金属桩两大类。其中金属桩的材料又分为不锈钢、金钯合金、金铂合金等。如果是前牙,建议使用纤维桩,因为它耐腐蚀性强、不含金属不影响医学检查,不容易引起根折,美观性能好,可以配合全瓷牙使用。而如果是后牙,使用金属桩比较合适,因为处在后牙,对美观的要求性不需要很高,金属桩不易导致牙根折裂,耐腐蚀。

牙齿打桩的注意事项
1、一般建议患者做完治疗后多观察一段时间,没有不适再行打桩做冠(以防有侧枝根管或者治疗不完善)。
2、做过治疗的牙齿一般脆性比较大,不建议打金属桩,可以选择纤维桩,减少根裂的机率。
3、牙齿如果受过外伤,一定在治疗的时候把情况告诉医生,以便医生掌握牙齿的全面情况。
本文来源于网络,转载仅作分享如有侵权,联系我们会在第一时间删除!