我们在临床经常遇到患者镶了烤瓷牙以后几年后牙龈发黑,一般都会主要原因在于:首先,是镍珞合金烤瓷这一类普通烤瓷因为含有镍、铬离子,不断释放这些重金属离子渗透到牙龈中。其次:肩台预备不良。医生在预备牙齿时肩台预备不好,肩台处牙医磨除过少,致使肩台处烤瓷过薄,金属遮色不好而显露。最后,烤瓷牙边缘与肩台存在距离,肩台没有藏于龈沟内,存在技工加工因素和医生排银不足引起。
【病例】患者8年前因外伤前牙折断,在当地进行了治疗,但面临工作,牙龈发黑影响较大。
检查:11,21 两个中切牙塑料牙面修复,牙龈发黑,内侧为自凝塑料。
X线牙片显示:两个中切牙根充较好,左上中切牙根尖处根尖孔较大。
经检查后不是因为镶了普通烤瓷引起,而是由于成品根管钉引起,较为特殊。

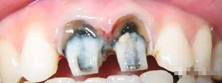
图1 成品塑料牙面修复后牙龈发黑

图2 磨除边缘黑色和不良修复体后

图3 根管钉大部分显露

图4 根管钉完全暴露

图5 拆下来的根管钉(好不容易啊!)

图 6 最后剩余的残根
根管钉引起的牙龈发黑较少见,本例我们选择拆除根管钉,改用纤维桩,彻底去除病灶源,可以大大提升修复效果,如果只考虑换烤瓷牙改善,肯定效果不佳,建议我们的临床医生在前牙残根残冠修复时,多选用纤维桩,改善修复效果。