八月份病历展示:正畸科安氏一类错合拔牙矫治
-
所属分类:
牙齿美容
-
浏览次数:
...
- 发布时间: 2025-10-18
发布时间: 2013-07-05
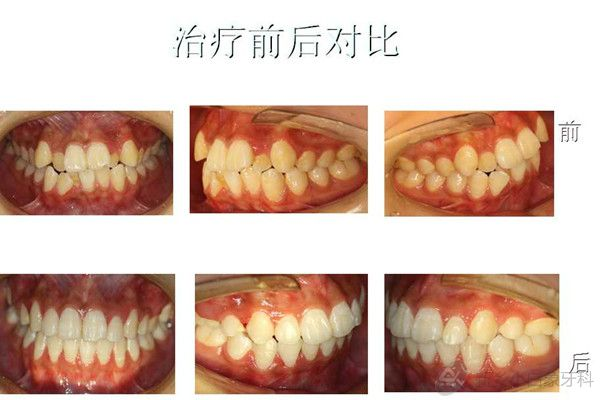
患者张某某,女,15岁,患者自换完牙后,感牙齿不齐、前突,于2013年7月5来诊;
检查:颌面部未见明显异常;侧面观:双颌前突;口内查:恒牙列期,16-46.26-36呈中性合,11.21唇侧倾斜20度,12,22腭侧错位且咬在下颌前牙的舌侧,13.23唇侧错位,31近中倾斜15度,32稍舌侧倾斜,41舌侧位且近中舌侧扭转约30度,42近中唇侧扭转45度,上颌前牙的切缘咬在下颌前牙的唇侧三分之一处,余未见明显异常;X线片显示18.28.38.48牙胚发育正常;
结束时间:2015年7月2日。
患者矫正牙齿后面部容貌得到很大改观,非常满意治疗效果。
发布时间: 2013-07-05
患者张某某,女,15岁,患者自换完牙后,感牙齿不齐、前突,于2013年7月5来诊;
检查:颌面部未见明显异常;侧面观:双颌前突;口内查:恒牙列期,16-46.26-36呈中性合,11.21唇侧倾斜20度,12,22腭侧错位且咬在下颌前牙的舌侧,13.23唇侧错位,31近中倾斜15度,32稍舌侧倾斜,41舌侧位且近中舌侧扭转约30度,42近中唇侧扭转45度,上颌前牙的切缘咬在下颌前牙的唇侧三分之一处,余未见明显异常;X线片显示18.28.38.48牙胚发育正常;
结束时间:2015年7月2日。
患者矫正牙齿后面部容貌得到很大改观,非常满意治疗效果。







