魏** 男 12岁
主诉:右上后牙疼痛半年余。
现病史:半年前右上后牙嵌塞食物,偶有疼痛,近一周加重,影响睡眠,要求检查。
既往史:体健,否认有传染病史及药物过敏史。
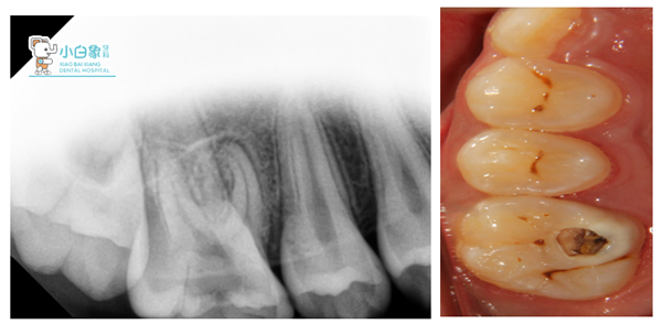
检查:颌面部查未见异常,口内查:16近中舌尖龋坏达髓腔,探诊疼痛,温度测试疼痛,叩(++),余未见明显异常,口腔卫生尚可。
X线:16低密度影像达髓腔,近中根尖见低密度影像。

诊断:16慢性根尖周炎急性发作
治疗计划:16根管治疗+高嵌体修复16根管治疗+桩冠修复口腔卫生宣教因费用问题患者家长要求16根管治疗后树脂充填

治疗过程:16必兰麻下去腐质揭髓顶大量渗出,丁香油棉捻安抚后封慢失一周。复诊16叩(土),去暂封,拔髓,腭侧及远中颊侧根长19mm,近中颊侧及MB2长18mm,M3预备,常规冲洗,隔湿干燥,热牙胶充填,Z350充填。
医嘱:注意口腔卫生,早期修复。




各根管口的形态是:近颊根管口较扁,若其再分为颊、舌两根管口,两根管口较圆小,近颊根管的舌侧根管口位于远颊根管口的舌侧,距舌根内的舌侧根管口最近,远颊根管口略圆,舌侧根管口较宽大。近颊根管为双管型或单双管型者共占63%,远颊侧根管分为两管者占9%,舌侧根管较宽大。
摘自第7版《口腔解剖生理学》第66页
主编 王美青
副主编 何三纲