患者 :男 14岁
主诉:右上后牙疼痛10日余。
现病史:右上后牙有洞疼痛10日,口服消炎药好转,要求检查。
既往史:体健,否认有传染病史及药物过敏史。

检查:颌面部查未见异常,口内查:牙列不齐,16近中临面龋坏达髓腔,近中缺损至龈下,探诊(-),温度测试无反应,叩(土),牙龈无红肿。36合面大面积缺损,髓腔暴漏,探诊(-),温度测试无反应,叩(+),牙龈无红肿。17,26,27,37,46,47合面龋坏达牙本质深层,探诊敏感,温度测试正常。14,24合面龋坏达牙本质浅层,探诊(-),温度测试正常。15,25,34,35,44,45萌出,窝沟较深,着色,无龋坏。12,22舌侧窝沟龋坏达牙本质深层,探诊敏感,温度测试正常。全口卫生差,软垢覆盖牙面二分之一,牙龈无红肿。

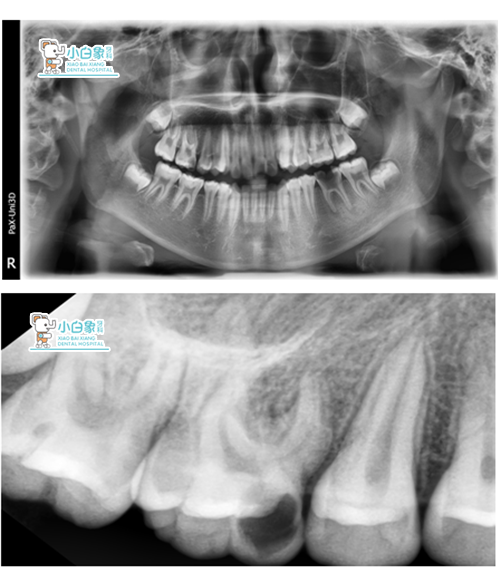
X线:16低密度影像达髓角
36根尖见低密度影像
诊断:牙列不齐
16死髓牙
36慢性根尖周炎
17,26,27,37,46,47深龋
14,24,中龋
15,25,34,35,44,45窝沟较深
12,22深龋/畸形舌侧窝
牙菌斑

治疗计划:a.全口洁治
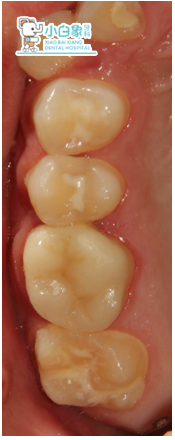
b.16根管治疗+龈切+高嵌体修复
c.36根管治疗+桩冠修复(效果差)
d.36拔除+间隙保持
e.12,14,17,22,24,26,27,37,46,47充填术
f.15,25,34,35,44,45窝沟封闭
g.正畸治疗
经与家长沟通,行a,b,c,e,f方案

治疗过程:a.16去腐质,揭髓顶,拔髓未见,冲洗,隔湿干燥,封木榴油。一周复诊根充,局麻下切龈,制备牙体,扫像,设计,研磨,上釉,粘结,调合。
b.36去腐质,清理根管,冲洗,封木榴油,一周复诊根充,打桩恢复牙体。
c.14,17,24,26,27,37,46,47纳米充填。
d.12,22暂行3M玻璃离子充填。
e.15,25,34,35,44,45行窝沟封闭术。
f.全口行超声波洁治。
嵌体粘结

一周复查
