患者:*** 男
主诉:右上后牙有洞数日。
现病史:近日,患者感右上后牙有洞,影响进食,来诊。
既往史:体健,否认有传染病及药物过敏史。

检查:合面及近中缺损达根管口,根管口见充填材料,叩(土),温度测试无反应,牙龈无红肿。
X线检查:根管内见高密度影欠填,根尖见低密度影。

诊断:15无髓牙/慢性根尖炎
治疗计划:15根管治疗+纤维桩+瓷睿刻全冠修复
治疗:15去除根管内充填材料及腐质,寻两根管,测根长19mm,M3根备,超声荡洗,隔湿干燥,热牙胶充填根管,在颊侧根管制备桩道,3M纤维桩粘结。

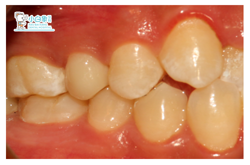
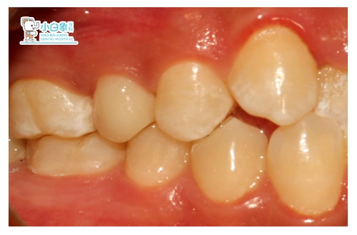
制备牙体,取像,设计,制作高嵌体,试戴,粘结。

戴牙

医嘱:定期复查,不适随诊。