八月份补牙病例

  • 所属分类:
    牙齿修复
  • 浏览次数: ...
  • 发布时间: 2017-09-20
八月份补牙病例

姓名:张**

病历号:14062104

主诉:要求补牙。

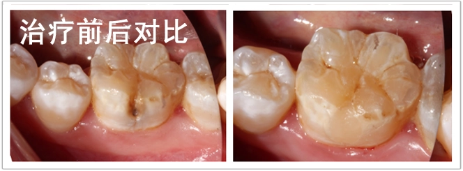
现病史:几日前发现右下后牙发黑,影响美观,特来诊。

既往史:体健,否认传染病史及药物过敏史。

 

 

检查:颌面部未见异常,口内查:46颊面沟龋坏达牙本质层,温度测试正常。 

诊断:46中龋 

治疗计划:护充

2.png

治疗过程:46.去腐备洞 ,隔湿干燥,光照玻璃离子垫底,纳米充填, 调合,抛光。

医嘱:不适随诊。

QQ截图20171114093632.jpg

2.png

本文网址: https://www.xbx373.com/3131/159.html

新乡小白象口腔医院

我们的价值观
患者满意 员工幸福
我们的服务宗旨
帮患者恢复口腔健康   为员工创造幸福生活
我们的愿景
儿童牙齿的贴心保姆   成人口腔的忠实伙伴

上班时间:8:30-20:30

周六、周日、节假日不休息

Copyright  版权所有:新乡小白象口腔医院 豫ICP备2022026940号-1 技术支持:慧牛企服

在线客服

在线客服

您好,我这边是在线客服

X